EDEN PRAIRIE, Minn. & REHOVOT, Israel– Stratasys Ltd. (NASDAQ: SSYS), a leader in polymer 3D printing and additive manufacturing solutions, today announced it has partnered with Siemens Healthineers to carry out a landmark research project designed to develop new state-of-the-art solutions for the advancement of medical imaging phantoms for computed tomography (CT) imaging.
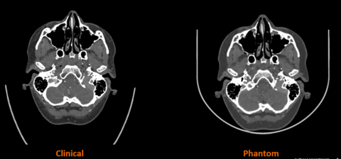
A critical tool in medical imaging and an almost universal resource in hospitals worldwide, CT phantoms are specialized devices used to evaluate and ensure the performance of CT scanners. Designed to simulate certain characteristics of the human body, phantoms enable the assessment of various core metrics, including radiation dose and image quality, aiding calibration and safeguarding consistent scanner performance. The joint development leverages Stratasys’ PolyJet™ technology in combination with its unique RadioMatrix™ technology, and Siemens Healthineers’ advanced algorithm aimed at translating scanned patient images into specific material characteristics with radiopacity of human anatomy. The solution will allow for tailored phantom manufacturing and the creation of ultra-realistic human anatomy characteristics with complete radiographic accuracy of patient-specific pathology not previously possible.
This joint project will transform how phantoms can be utilized in the medical field, and in certain cases even enable device manufacturers and academic facilities to replace human cadavers with 3D printed structures. Having this capability enables critical efficiencies and minimizes inevitable human variability. This work will also produce a critical body of research data, providing key insights for advancing CT system algorithms, driving materials development, and unlocking potential new application areas – as well as identifying future research opportunities.
“The current limitations of imaging phantoms have been a longstanding challenge for the radiology community,” said Erez Ben Zvi, Vice President Medical at Stratasys. “This partnership with Siemens Healthineers will enable us to jointly explore the vast possibilities of our radiopaque materials and 3D printing technologies to overcome these barriers.”
Beginning with the manufacturing of 3D printed phantoms for smaller-scale anatomies of the head and neck region, the research will involve the production of progressively larger and complex anatomies – leading up to the Phase One endpoint of 3D printing a heart model and of an entire human torso with complete radiographic accuracy.
“Knowledge gained from this project provides a breakthrough in medical imaging that will open up new avenues for uses when it comes to 3D printing and imaging,” said Lampros Theodorakis, Head of Computed Tomography Product & Clinical Marketing at Siemens Healthineers. “We are excited about the opportunities ahead of us as a result of this partnership and believe it will have long-term impacts for medical and academic applications.”


