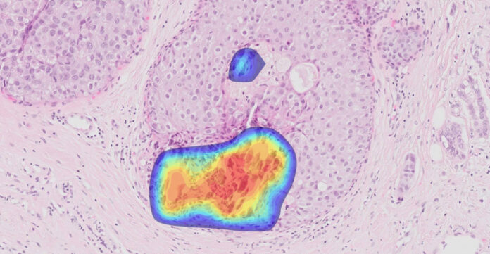
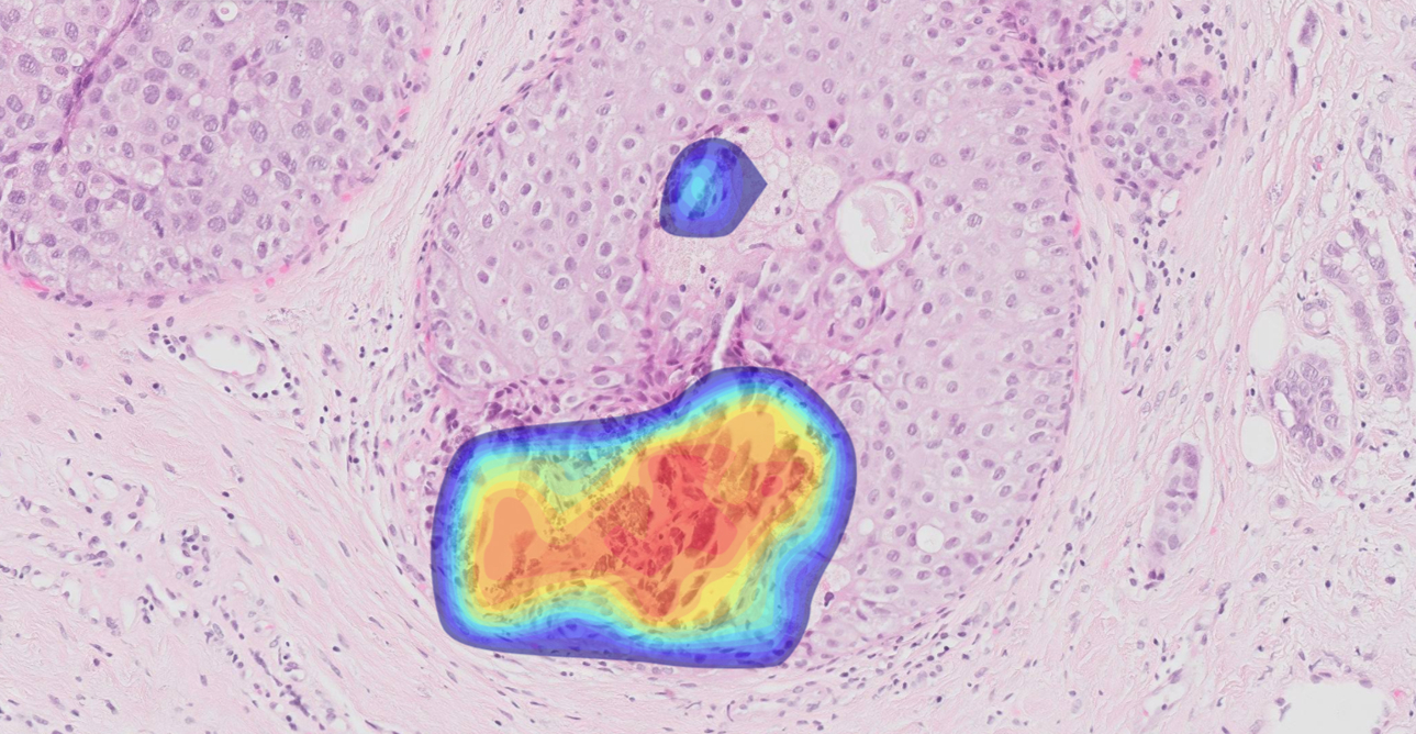
Boston– A new peer-reviewed study conducted at The Ohio State University Wexner Medical Center has validated the clinical impact of Ibex Breast, an AI-powered diagnostic support tool, in improving accuracy and efficiency in breast cancer diagnosis. The study, published in Clinical Breast Cancer, found that the AI solution raised pathologists’ diagnostic accuracy to 100% and significantly reduced case review times.
The research examined 104 real-world breast biopsy cases, including invasive and microinvasive carcinomas, ductal carcinoma in situ (DCIS), atypical lobular hyperplasia (ALH), and benign lesions. Three experienced breast pathologists reviewed each case both with and without the support of Ibex’s AI system. With the AI’s assistance, diagnostic accuracy increased from 97.1% to 100%, with previously missed precancerous lesions such as lobular neoplasia and microcalcifications successfully identified.
“This study represents a critical step forward in validating the role of AI in breast pathology,” said Dr. Zaibo Li, a pathologist at Ohio State Wexner Medical Center. “Our findings show that AI-powered tools can enhance diagnostic accuracy and improve workflow by reducing review times and additional testing.”
In addition to improved accuracy, the AI tool reduced review times by up to 23% and decreased the use of immunohistochemistry (IHC) tests by an average of 33%. These workflow enhancements allow pathologists to process more cases efficiently while minimizing delays in diagnosis—a vital factor in breast cancer care where early detection is crucial.
Ibex Breast, first launched in 2022, detects more than 50 malignant and benign tissue morphologies and is already in use by leading pathology labs worldwide. The platform was developed using a globally sourced dataset and trained on diverse slide images from different digital scanners. It is designed to support real-time diagnostic decisions, even in complex or borderline cases.
“Beyond the numbers, Ibex Breast gives pathologists greater confidence and peace of mind,” said Dr. Manuela Vecsler, Vice President of Clinical and Scientific Affairs at Ibex Medical Analytics. “Faster, more accurate diagnoses mean patients receive the care they need sooner—an especially critical factor in breast cancer, where time can make all the difference.”
As breast cancer cases rise and the complexity of precision oncology grows, AI tools like Ibex Breast are becoming essential in addressing the mounting demands on pathology labs, especially amid a shortage of trained specialists. The study underscores AI’s growing role in delivering consistent, high-quality care across the healthcare system.


